Veterinary Ultra-Portable DR System
SIUI veterinary ultra-portable DR system currently includes 2 models, SR-100 Vet and SR-300 Vet. An ultra-portable DR system consists of an ultra-lightweight X-ray generator, a wireless flat panel detector, and a user-friendly workstation.
The X-ray generators of SR-100 Vet and SR-300 Vet feature different portable designs, thereby accommodating the operational preferences of different veterinarians and adapting to diverse application environments. All-in-one backpacks, suitcases, and various types of stands are available for convenient transportation and application at stables, farms, zoos, etc.
FeaturesFunctionGalleryDownload
X-Ray Generator Highlights
● Portable and compact design, easy for transportation
● Satisfactory imaging with minimum radiation exposure
● Quick setup and deployment
● Long-lasting built-in battery delivers reliable power, ensuring consistent performance
● Multiple exposure modes: generator control / handbrake control / pedal exposure mode / workstation…
● Intuitive operational interface

Flat Panel Detector Highlights
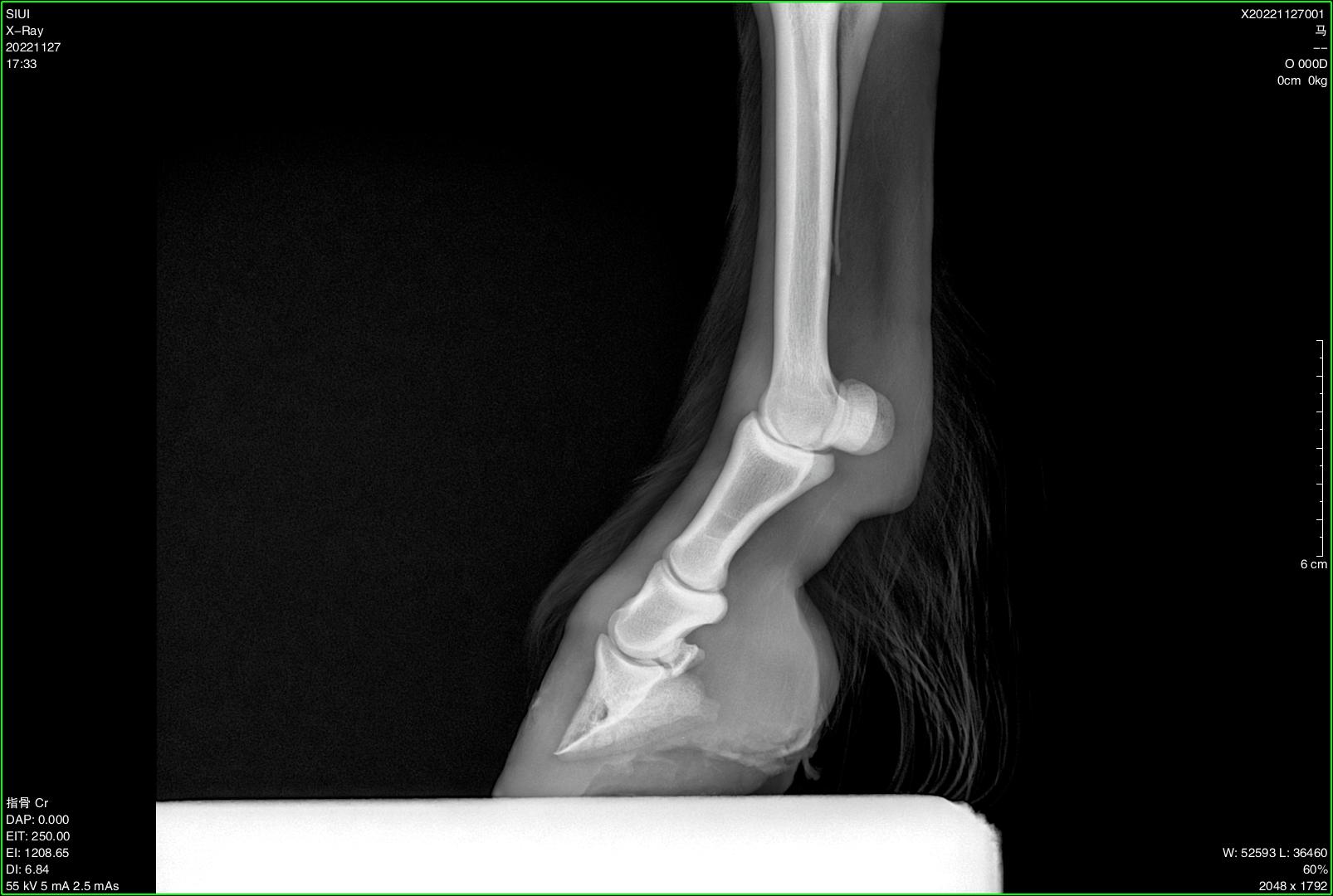
● High-resolution and precise imaging with fine details
● Wireless connection enables flexible adaptation to the animal’s position
● Extended battery life for reliable performance
● Water-proof and dust-proof design adapts to complex environments

Workstation Highlights
● Excellent image post-processing capabilities
● Efficient file management
Diverse Application Scenarios:
● Vet clinics
● Animal research institutions
● Zoos and aquaria
● Farms
● Stables
● Wildlife rescue
● …








